لثهها نقش مهمی در محافظت از ریشه دندانها و استحکام آنها دارند. هرگونه آسیب یا تحلیل در لثهها میتواند سلامت دهان و دندان را به خطر بیندازد. تحلیل لثه در کودکان یکی از مشکلاتی است که اگر به موقع تشخیص داده نشود، میتواند به از دست رفتن دندانها و مشکلات جدیتر منجر شود. در این مقاله، به بررسی التهاب لثه در کودکان، تحلیل لثه در کودکان، علائم و راههای درمان آن خواهیم پرداخت. دندانپزشکی کودکان در ساری کلینیک دندانپزشکی تخصصی دکتر شاکریان در خدمت شما عزیزان و فرزند دلبندتان میباشد.
تحلیل لثه در کودکان چیست؟
تحلیل لثه یا رکسیون لثه به وضعیتی اطلاق میشود که در آن بافت لثه به دلایل مختلفی دچار عقبنشینی شده و بخش بیشتری از سطح دندان و حتی ریشه آن نمایان میشود. این وضعیت میتواند حساسیت دندان را افزایش دهد و باعث آسیب به ساختارهای حمایتی دندان شود. گرچه تحلیل لثه بیشتر در بزرگسالان مشاهده میشود، اما کودکان نیز ممکن است به دلایل مختلفی به این مشکل دچار شوند.

علائم تحلیل لثه در کودکان
تشخیص زودهنگام تحلیل لثه در کودکان برای جلوگیری از پیشرفت بیماری اهمیت زیادی دارد. برخی از مهمترین علائم این بیماری عبارتند از:
1. عقبنشینی لثه: مشاهدهی کاهش ارتفاع لثه در اطراف دندانها.
2. حساسیت دندانها: احساس درد یا ناراحتی هنگام مصرف غذاهای سرد یا گرم.
3. خونریزی لثه: خونریزی حین مسواک زدن یا نخ دندان کشیدن.
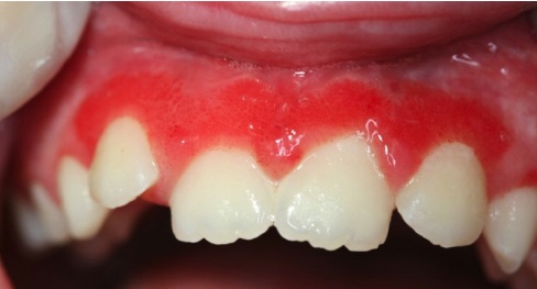
4. تغییر رنگ لثه: قرمزی، التهاب یا تغییر رنگ لثهها.
5. بوی بد دهان: ایجاد بوی ناخوشایند به دلیل تجمع پلاک و باکتری.
6. لق شدن دندانها: در مراحل پیشرفتهتر، ممکن است دندانها دچار لقی شوند.
علت بروز بیماری تحلیل لثه در کودکان چیست؟
دلایل مختلفی میتوانند منجر به تحلیل لثه در کودکان شوند. برخی از شایعترین علل عبارتند از:
1. مسواک زدن نادرست یا شدید: استفاده از مسواکهای زبر یا فشار بیش از حد هنگام مسواک زدن میتواند به لثهها آسیب بزند.
2. بهداشت دهان و دندان ضعیف: عدم رعایت بهداشت دهان باعث تجمع پلاک و باکتری شده و به تحلیل لثه میانجامد.
3. عفونتهای لثه (پریودنتیت): عفونتهای باکتریایی لثه میتوانند باعث التهاب لثه در کودکان و تحلیل تدریجی لثه شوند.
4. ژنتیک: برخی از کودکان به دلیل عوامل وراثتی مستعد تحلیل لثه هستند.
5. دندانهای نامرتب یا ارتودنسی: فشار نادرست بر لثهها ناشی از موقعیت نادرست دندانها میتواند باعث تحلیل لثه شود.
6. آسیبهای فیزیکی: ضربه به دهان یا فک ممکن است به لثهها آسیب رسانده و تحلیل آنها را تسریع کند.
7. عادات نادرست دهانی: عاداتی مانند دندانقروچه یا مکیدن انگشت میتوانند لثهها را تحت فشار قرار دهند و باعث تحلیل آن شوند.
روش تشخیص پسروی لثه در کودکان
تشخیص بهموقع تحلیل لثه در کودکان برای جلوگیری از آسیبهای جدیتر بسیار مهم است. برخی از روشهای تشخیص عبارتاند از:
1. معاینه بالینی: دندانپزشک با بررسی دقیق وضعیت لثهها میتواند علائم اولیه تحلیل لثه مانند عقبرفتگی خط لثه، التهاب لثه در کودکان و حساسیت را شناسایی کند.
2. تصویربرداری رادیوگرافی: در موارد پیشرفتهتر، استفاده از تصاویر رادیوگرافی به شناسایی کاهش سطح استخوان اطراف دندان کمک میکند.
3. بررسی علائم بالینی: علائمی مانند خونریزی لثه، حساسیت دندانها به سرما و گرما، و نمایان شدن ریشه دندانها میتواند نشاندهنده تحلیل لثه باشد.
4. بررسی سابقه پزشکی: برخی شرایط مانند ناهنجاریهای دندانی یا بیماریهای سیستمیک میتوانند در ایجاد تحلیل لثه نقش داشته باشند که دندانپزشک با بررسی سابقه پزشکی کودک آن را ارزیابی میکند.

درمان بیماری تحلیل لثه در کودکان
درمان تحلیل لثه در کودکان به علت و شدت بیماری بستگی دارد. روشهای درمانی شامل موارد زیر است:
درمانهای غیرجراحی
1. بهبود بهداشت دهان و دندان: آموزش مسواک زدن صحیح و استفاده از نخ دندان برای کاهش پلاکهای باکتریایی و جلوگیری از تشدید تحلیل لثه بسیار مؤثر است.
2. دهانشویههای آنتیباکتریال: استفاده از دهانشویههای مخصوص برای کاهش التهاب لثه در کودکان و کنترل عفونت لثه توصیه میشود.
3. تصحیح عادات نامناسب: ترک عادات آسیبزا مانند دندانقروچه، مکیدن انگشت و فشار دادن زبان به دندانها میتواند از پیشرفت تحلیل لثه جلوگیری کند.
درمانهای جراحی
در موارد شدید که تحلیل لثه پیشرفته است، ممکن است به درمانهای جراحی نیاز باشد:
1. پیوند لثه: انتقال بافت سالم از بخش دیگری از دهان برای پوشاندن ریشه دندان و بازسازی لثه.
2. جراحی فلپ لثه: بلند کردن بخشی از لثه برای پاکسازی عمقی و بازسازی استخوان از دسترفته.
خطرات و عوارض تحلیل لثه در کودکان
عدم تشخیص و درمان بهموقع تحلیل لثه میتواند عوارض جبرانناپذیری به دنبال داشته باشد:
1. افزایش حساسیت دندانها: نمایان شدن ریشه دندانها موجب افزایش حساسیت به مواد غذایی گرم، سرد و شیرین میشود.
2. عفونت و التهاب لثه: تحلیل لثه احتمال بروز عفونتهای لثه و بیماریهای پریودنتال را افزایش میدهد.
3. از دست رفتن دندان: در موارد پیشرفته، تحلیل شدید لثه و تخریب استخوان اطراف دندان میتواند به لق شدن و افتادن دندانها منجر شود.
4. تأثیر بر رشد دندانهای دائمی: تحلیل لثه میتواند باعث تغییر مسیر رویش دندانهای دائمی شود و نظم دندانها را مختل کند.
پیشگیری از تحلیل لثه کودکان
پیشگیری از تحلیل لثه در کودکان با رعایت نکات بهداشتی و معاینات منظم امکانپذیر است:
1. رعایت بهداشت دهان و دندان: آموزش صحیح مسواک زدن (دو بار در روز) و استفاده از نخ دندان برای حذف پلاکهای باکتریایی اهمیت زیادی دارد.
2. معاینات منظم دندانپزشکی: مراجعه منظم به دندانپزشک (هر 6 ماه یکبار) برای بررسی سلامت لثهها و تشخیص زودهنگام مشکلات ضروری است.
3. اصلاح عادات نادرست: ترک عادتهایی مانند مکیدن انگشت، فشار زبان و دندانقروچه میتواند از بروز تحلیل لثه در کودکان جلوگیری کند.
4. استفاده از محافظ دندان: در کودکانی که دندانقروچه دارند، استفاده از نایتگارد (محافظ شبانه) برای محافظت از دندانها توصیه میشود.
5. تغذیه سالم: مصرف غذاهای غنی از ویتامین C و کلسیم برای تقویت لثهها و استخوانها مؤثر است.
خدمات دندانپزشکی کودکان در ساری – کلینیک دندانپزشکی دکتر شاکریان
کلینیک دندانپزشکی دکتر شاکریان با ارائه خدمات تخصصی دندانپزشکی کودکان در ساری، محیطی آرام و مجهز برای درمان مشکلات دهان و دندان کودکان فراهم کرده است.
خدمات ویژه دندانپزشکی کودکان در ساری
1. معاینه و تشخیص زودهنگام: بررسی سلامت دندانها و شناسایی مشکلاتی مانند پوسیدگی و تحلیل لثه.
2. درمان پوسیدگی دندان: ترمیم دندانهای شیری و دائمی با مواد باکیفیت.
3. فلورایدتراپی و فیشورسیلانت: پیشگیری از پوسیدگی با محافظت از شیارهای دندانی.
4. درمان تحلیل لثه: تشخیص و درمان مشکلات لثه و عفونتهای لثهای.
5. کشیدن دندان: انجام کشیدن دندانهای آسیبدیده با روشهای بدون درد.
6. ارتودنسی پیشگیرانه: اصلاح نامرتبی دندانها برای جلوگیری از مشکلات فکی.
7. آموزش بهداشت دهان و دندان: آموزش روشهای صحیح مسواک زدن و مراقبت از دندانها.
برای بررسی علائم تحلیل لثه کودکان به کدام دکتر مراجعه کنیم؟
برای بررسی و درمان تحلیل لثه در کودکان باید به دندانپزشک متخصص کودکان (پدودنتیست) یا متخصص بیماریهای لثه (پریودنتیست) مراجعه کنید. این متخصصان بهطور دقیق سلامت لثه و دندان کودک را ارزیابی کرده و درمان مناسب را پیشنهاد میکنند.
التهاب لثه در کودکان از چه سنی آغاز میشود؟
التهاب لثه (ژنژیویت) میتواند از سنین ۳ تا ۶ سالگی، همزمان با رویش دندانهای شیری شروع شود. این مشکل در دوران نوجوانی به دلیل تغییرات هورمونی و رعایت نکردن بهداشت دهان و دندان شایعتر است.
شایعترین علت پسروی لثه در کودکان چیست؟
مهمترین دلایل تحلیل لثه در کودکان عبارتاند از:
1. رعایت نکردن بهداشت دهان و دندان (تجمع پلاک و جرم)
2. مسواک زدن نادرست (فشار زیاد به لثه)
3. کجی دندانها (نامرتبی و فشردگی دندانها)
4. عادات نادرست دهانی (مثل دندانقروچه یا مکیدن انگشت)
5. بیماریهای لثه (عفونت و التهاب مزمن)
جراحی لثه کودک از چه سنی انجام میشود؟
معمولاً جراحی لثه برای کودکان تنها در موارد ضروری و با نظر متخصص از ۶ سالگی به بعد انجام میشود. جراحی زمانی توصیه میشود که مشکلات جدی مانند عفونت شدید، تحلیل پیشرونده، یا آسیب به بافت لثه وجود داشته باشد.
آیا کج بودن دندانها میتواند موجب تحلیل لثه در کودکان شود؟
بله، نامرتبی و کجی دندانها یکی از عوامل مهم تحلیل لثه درکودکان است. زمانی که دندانها بهدرستی در جای خود قرار نگیرند، فشار نادرست بر لثه وارد شده و به تدریج باعث پسروی لثه و آسیب به بافتهای اطراف دندان میشود. ارتودنسی زودهنگام میتواند از این مشکل پیشگیری کند.