فاصله بین دندانها (دیاستم) یکی از مشکلات شایع در دندانپزشکی زیبایی است که میتواند تأثیر مستقیمی بر ظاهر لبخند و اعتمادبهنفس افراد داشته باشد. بسیاری از افراد با دیدن فاصله بین دندانهای خود، بهویژه دندانهای جلویی، تصور میکنند تنها راه درمان، ارتودنسی طولانیمدت است؛ در حالی که در بسیاری از موارد، درمان فاصله دندان بدون ارتودنسی امکانپذیر بوده و نتایج سریع و قابل قبولی به همراه دارد. درمان دیاستم بدون ارتودنسی در کلینیک دندانپزشکی دکتر شاکریان در ساری ارائه خدمات دندانپزشکی زیبایی.
با پیشرفت روشهای دندانپزشکی زیبایی، امروزه تکنیکهایی مانند کامپوزیت، لمینت و روکشهای دندانی بهعنوان جایگزینهای مؤثر برای بستن فاصله دندانها شناخته میشوند. در این مقاله، بهصورت کامل و مرحلهبهمرحله به بررسی درمان دیاستم بدون ارتودنسی میپردازیم.

فاصله دندان (دیاستم) چیست؟
فاصله دندان که در علم دندانپزشکی با نام دیاستم (Diastema) شناخته میشود، به وجود فضای غیرطبیعی بین دو یا چند دندان گفته میشود. این فاصله ممکن است در هر ناحیهای از دهان ایجاد شود، اما معمولاً در دندانهای جلویی فک بالا بیشتر دیده میشود؛ زیرا این ناحیه نقش مهمی در زیبایی لبخند دارد.
دیاستم در برخی افراد کاملاً خفیف است و فقط یک مسئله زیبایی محسوب میشود، اما در مواردی میتواند باعث گیر کردن غذا بین دندانها، مشکلات لثهای، اختلال در تلفظ بعضی حروف و حتی کاهش اعتمادبهنفس فرد شود. به همین دلیل، بسیاری از افراد به دنبال درمان فاصله دندان جلو هستند.
نکته مهم این است که وجود دیاستم همیشه به معنای نیاز فوری به درمان نیست؛ اما زمانی که فرد از ظاهر لبخند خود ناراضی باشد یا فاصله دندان باعث بروز مشکلات دهان و لثه شود، اقدام به درمان توصیه میشود.
علت ایجاد فاصله بین دندانها
برای انتخاب بهترین روش درمان فاصله دندان (دیاستم)، ابتدا باید علت ایجاد آن مشخص شود. فاصله بین دندانها میتواند دلایل مختلفی داشته باشد و در بسیاری از موارد، ترکیبی از چند عامل باعث بروز این مشکل میشود. شایعترین علل ایجاد فاصله دندان عبارتاند از:
1. عدم تناسب اندازه دندان و فک
در برخی افراد، اندازه دندانها نسبت به فک کوچکتر است. در این حالت، حتی اگر دندانها بهدرستی در کنار هم قرار بگیرند، بین آنها فاصله ایجاد میشود. این نوع دیاستم معمولاً با روشهای زیبایی مانند کامپوزیت یا لمینت بهخوبی قابل درمان است.
2. فرنوم لب بالا (بافت بین لب و لثه)
وجود فرنوم ضخیم یا پایینآمده بین دو دندان جلویی فک بالا یکی از دلایل شایع فاصله دندانهای جلو است. این بافت میتواند مانع از بسته شدن کامل دندانها شود. در برخی موارد، قبل از درمان زیبایی، نیاز به اصلاح یا جراحی ساده فرنوم وجود دارد.
3. عادات نادرست دهانی
عادتهایی مانند مکیدن انگشت در کودکی، فشار دادن زبان به دندانها یا تنفس دهانی میتوانند بهمرور زمان باعث جابهجایی دندانها و ایجاد فاصله بین آنها شوند.
4. بیماریهای لثه
بیماریهای لثه و تحلیل استخوان اطراف دندانها میتوانند موجب لق شدن و فاصله گرفتن دندانها از یکدیگر شوند. در این موارد، درمان لثه پیشنیاز درمان دیاستم خواهد بود.
5. از دست دادن دندان
وقتی یک دندان از دست میرود و جایگزین نمیشود، دندانهای مجاور به سمت فضای خالی حرکت میکنند و این موضوع میتواند باعث ایجاد یا افزایش فاصله بین دندانها شود.
6. عوامل ژنتیکی
در بسیاری از موارد، فاصله دندانها بهصورت ارثی در خانواده وجود دارد و فرد از کودکی با دیاستم مواجه است.
شناخت علت ایجاد فاصله دندان به دندانپزشک کمک میکند تا مناسبترین روش درمان فاصله دندان بدون ارتودنسی را انتخاب کند و نتیجهای طبیعی و ماندگار به دست آید.

آیا درمان فاصله دندان بدون ارتودنسی امکانپذیر است؟
یکی از رایجترین سؤالات بیماران این است که آیا درمان فاصله دندان بدون ارتودنسی واقعاً امکانپذیر است یا خیر. پاسخ این سؤال در بسیاری از موارد بله است؛ اما به شرطی که نوع، اندازه و علت ایجاد فاصله دندان بهدرستی بررسی شود.
ارتودنسی معمولاً زمانی توصیه میشود که فاصله دندانها زیاد باشد، بینظمی شدید وجود داشته باشد یا مشکل اسکلتی فک مطرح باشد. اما در مواردی که فاصله دندانها خفیف تا متوسط است و دندانها در موقعیت مناسبی قرار دارند، میتوان از روشهای سریعتر و کمتهاجمیتر استفاده کرد.
امروزه با پیشرفت دندانپزشکی زیبایی، روشهایی مانند کامپوزیت ونیر، لمینت سرامیکی و روکش دندانی بهعنوان جایگزینهای مؤثر برای درمان دیاستم بدون ارتودنسی شناخته میشوند. این روشها نهتنها فاصله بین دندانها را از بین میبرند، بلکه میتوانند فرم، رنگ و زیبایی کلی لبخند را نیز بهبود دهند.
نکته مهم این است که همه فاصلههای دندانی را نمیتوان بدون ارتودنسی درمان کرد. تشخیص نهایی به عواملی مانند:
- میزان فاصله بین دندانها
- وضعیت لثه و استخوان
- علت ایجاد دیاستم
- انتظارات زیبایی بیمار
بستگی دارد. به همین دلیل، معاینه دقیق توسط دندانپزشک متخصص نقش بسیار مهمی در انتخاب روش درمان دارد.
در صورت انتخاب صحیح روش، درمان دیاستم بدون ارتودنسی میتواند در مدتزمان کوتاه و با نتایج بسیار رضایتبخش انجام شود.
روشهای درمان دیاستم بدون ارتودنسی
امروزه بسته به میزان فاصله دندانها، شرایط لثه و هدف بیمار از درمان، روشهای مختلفی برای درمان فاصله دندان بدون ارتودنسی وجود دارد. این روشها معمولاً سریع، کمتهاجمی و با نتایج زیبایی قابلقبول همراه هستند. در ادامه، رایجترین و مؤثرترین روشهای درمان دیاستم بدون ارتودنسی را بررسی میکنیم.
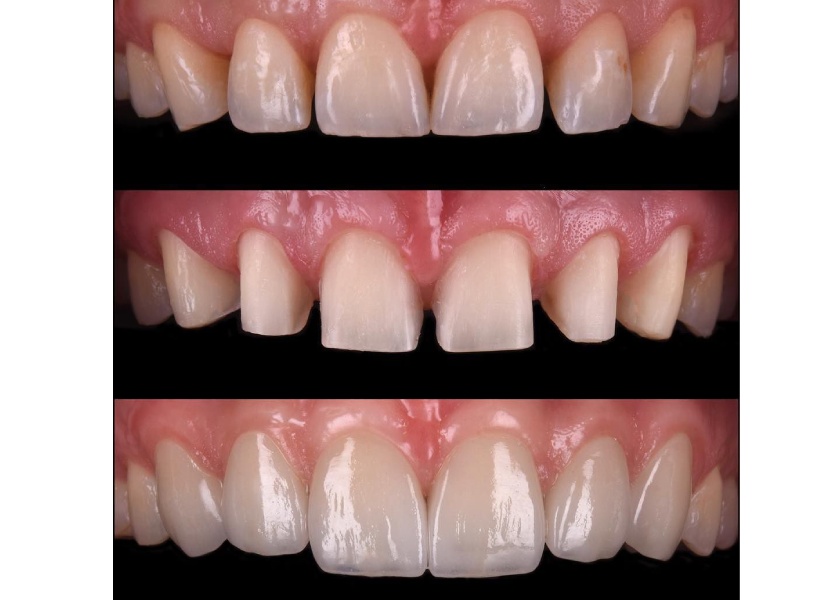
بستن فاصله دندان با کامپوزیت
کامپوزیت ونیر یکی از پرطرفدارترین روشها برای درمان فاصله دندان، بهویژه فاصله دندانهای جلو است. در این روش، مواد همرنگ دندان بهصورت لایهلایه روی سطح دندان قرار میگیرد و بهگونهای فرمدهی میشود که فاصله بین دندانها از بین برود.
از مهمترین مزایای بستن فاصله دندان با کامپوزیت میتوان به موارد زیر اشاره کرد:
- انجام درمان در یک جلسه
- عدم نیاز یا نیاز بسیار کم به تراش دندان
- هزینه مناسبتر نسبت به لمینت
- اصلاح همزمان فرم و رنگ دندانها
کامپوزیت برای افرادی که فاصله دندان آنها خفیف تا متوسط است و به دنبال نتیجه سریع هستند، گزینهای بسیار مناسب محسوب میشود. البته ماندگاری کامپوزیت به رعایت بهداشت دهان و مراقبتهای پس از درمان بستگی دارد.
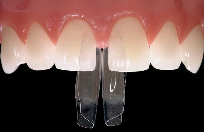
درمان فاصله دندان با لمینت
لمینت سرامیکی یکی دیگر از روشهای مؤثر برای درمان دیاستم بدون ارتودنسی است که بیشتر برای افرادی با فاصله دندانی متوسط و انتظارات زیبایی بالا توصیه میشود. لمینتها پوستههای نازک سرامیکی هستند که روی سطح دندانها قرار میگیرند و علاوه بر بستن فاصله، ظاهر دندانها را بسیار طبیعی و زیبا میکنند.
مزایای لمینت برای بستن فاصله دندان:
- زیبایی بسیار بالا و طبیعی
- مقاومت بیشتر در برابر تغییر رنگ
- ماندگاری طولانیتر نسبت به کامپوزیت
در این روش معمولاً مقدار کمی تراش روی دندان انجام میشود و نتیجه نهایی پس از چند جلسه قابل مشاهده است.
اصلاح فاصله دندان با روکش
در مواردی که علاوه بر فاصله دندان، مشکلاتی مانند شکستگی، پوسیدگی گسترده یا ضعف ساختاری دندان وجود دارد، روکش دندانی میتواند گزینه مناسبی برای درمان فاصله دندان باشد. روکشها کل سطح دندان را پوشش میدهند و علاوه بر بستن فاصله، استحکام دندان را نیز افزایش میدهند.
این روش بیشتر برای درمانهای ترمیمی-زیبایی توصیه میشود و انتخاب آن به شرایط دندان و نظر دندانپزشک بستگی دارد.

کدام روش برای درمان فاصله دندان مناسبتر است؟
انتخاب بهترین روش برای درمان فاصله دندان (دیاستم) به عوامل مختلفی بستگی دارد و نمیتوان برای همه افراد یک نسخه واحد پیچید. هر کدام از روشهای درمان بدون ارتودنسی، مزایا و محدودیتهای خاص خود را دارند و تشخیص نهایی باید پس از معاینه دقیق انجام شود.
در درجه اول، میزان فاصله بین دندانها نقش تعیینکنندهای دارد. فاصلههای خفیف معمولاً با کامپوزیت بهخوبی قابل درمان هستند، در حالی که فاصلههای متوسط یا مواردی که زیبایی بسیار بالا مدنظر است، اغلب با لمینت نتایج بهتری خواهند داشت.
عامل مهم بعدی، وضعیت دندان و لثه است. اگر دندانها سالم باشند و مشکل لثهای وجود نداشته باشد، انتخاب روشهای دندانپزشکی زیبایی سادهتر خواهد بود. اما در صورت وجود پوسیدگی، شکستگی یا تحلیل لثه، ابتدا باید درمانهای لازم انجام شود و سپس برای بستن فاصله دندان تصمیمگیری شود.
همچنین انتظارات زیبایی بیمار اهمیت زیادی دارد. برخی افراد به دنبال نتیجهای سریع و اقتصادی هستند، در حالی که برخی دیگر ماندگاری بالا و ظاهر کاملاً طبیعی را در اولویت قرار میدهند. در این شرایط، دندانپزشک با بررسی خواستههای بیمار، مناسبترین روش درمان دیاستم را پیشنهاد میکند.
در نهایت، تجربه و مهارت دندانپزشک نقش بسیار مهمی در موفقیت درمان دارد. اجرای صحیح کامپوزیت یا لمینت میتواند تفاوت چشمگیری در نتیجه نهایی ایجاد کند و لبخندی طبیعی و هماهنگ به بیمار هدیه دهد.
مزایای درمان فاصله دندان بدون ارتودنسی
یکی از مهمترین دلایلی که بسیاری از افراد به دنبال درمان فاصله دندان بدون ارتودنسی هستند، مزایای قابلتوجه این روشها در مقایسه با درمانهای طولانیمدت ارتودنسی است. این مزایا باعث شدهاند روشهای دندانپزشکی زیبایی به انتخاب اول بسیاری از بیماران تبدیل شوند.
درمان سریع و کوتاهمدت
برخلاف ارتودنسی که ممکن است ماهها یا حتی سالها زمان ببرد، روشهایی مانند کامپوزیت و لمینت معمولاً در مدتزمان کوتاهی انجام میشوند. در برخی موارد، بستن فاصله دندان با کامپوزیت تنها در یک جلسه قابل انجام است.
حفظ ظاهر طبیعی لبخند
در درمان دیاستم بدون ارتودنسی، تمرکز اصلی روی زیبایی نهایی لبخند است. با فرمدهی صحیح دندانها و انتخاب رنگ مناسب، نتیجهای طبیعی و هماهنگ با چهره فرد حاصل میشود.
عدم نیاز به سیم و براکت
بسیاری از افراد بهدلیل ظاهر سیمهای ارتودنسی یا محدودیتهای آن تمایلی به این روش ندارند. درمان فاصله دندان بدون ارتودنسی، این نگرانی را بهطور کامل برطرف میکند.
کمتهاجمی بودن درمان
در بیشتر روشهای بدون ارتودنسی، میزان تراش دندان بسیار کم یا حتی صفر است. این موضوع باعث حفظ ساختار طبیعی دندانها میشود.
افزایش اعتمادبهنفس
بستن فاصله دندانها، بهویژه در ناحیه جلویی، تأثیر چشمگیری بر زیبایی لبخند دارد و میتواند اعتمادبهنفس فرد را به میزان قابلتوجهی افزایش دهد.

آیا همه فاصلههای دندانی بدون ارتودنسی قابل درمان هستند؟
یکی از پرسشهای رایج بیماران این است که آیا هر نوع فاصله دندانی را میتوان بدون ارتودنسی درمان کرد؟ پاسخ کوتاه: نه همیشه.
عوامل محدودکننده درمان بدون ارتودنسی
1. میزان فاصله دندانها
- فاصلههای خفیف تا متوسط معمولاً با کامپوزیت یا لمینت بهخوبی قابل درمان هستند.
- فاصلههای زیاد یا مواردی که با بینظمی شدید دندانها همراه است، اغلب نیاز به ارتودنسی دارد.
2. مشکلات اسکلتی فک
- در برخی بیماران، دیاستم ناشی از مشکلات ساختاری فک است. در این موارد، بدون اصلاح اسکلتی، بستن فاصله دندانها به روشهای زیبایی موقت و ناپایدار خواهد بود.
3. وضعیت لثه و استخوان
- اگر تحلیل لثه یا بیماری های لثه وجود داشته باشد، ابتدا باید درمان های پریودنتال انجام شود. در غیر این صورت، فاصله دندان بدون ارتودنسی پایدار نخواهد بود.
4. عادتهای نادرست دهانی
- عاداتی مثل فشار زبان به دندانها یا مکیدن انگشت، در صورت ادامه یافتن، ممکن است نتیجه درمان را تحت تأثیر قرار دهد.
نکته مهم
قبل از شروع درمان، معاینه دقیق توسط دندانپزشک متخصص ضروری است. او با بررسی علت فاصله، وضعیت دندان و لثه و خواستههای بیمار، بهترین روش درمان را پیشنهاد میدهد تا نتیجهای طبیعی، زیبا و ماندگار حاصل شود.
درمان دیاستم در کلینیک دندانپزشکی دکتر شاکریان در ساری
اگر به دنبال درمان فاصله دندان بدون ارتودنسی در ساری هستید، کلینیک دندانپزشکی دکتر شاکریان یکی از بهترین گزینهها برای دریافت خدمات حرفهای و مدرن است. این کلینیک با بهرهگیری از تجهیزات بهروز، مواد باکیفیت و تیم متخصص، خدمات متنوعی در زمینه دندانپزشکی زیبایی برای اصلاح فاصله دندانها ارائه میدهد.
خدمات کلینیک شامل:
1. بستن فاصله دندان با کامپوزیت ونیر
انجام سریع و کمتهاجمی برای فاصلههای خفیف تا متوسط، با نتیجه طبیعی و زیبا.
2. لمینت سرامیکی برای بستن فاصله دندانها
مناسب افرادی که به دنبال ماندگاری طولانی و زیبایی بالاتر هستند.
3. روکشهای دندانی برای اصلاح ساختار و فاصله دندان
در مواردی که دندانها نیاز به ترمیم دارند یا تحلیل لثه وجود دارد.
چرا کلینیک دکتر شاکریان؟
- استفاده از مواد و تکنیکهای بهروز دندانپزشکی زیبایی
- تخصص در درمان فاصله دندان بدون ارتودنسی
- توجه به زیبایی طبیعی لبخند همراه با حفظ سلامت دندان و لثه
- ارائه مشاوره شخصی و طراحی طرح درمان متناسب با وضعیت هر بیمار
با مراجعه به این کلینیک، بیماران میتوانند درمان سریع، امن و با کیفیت بالا برای بستن فاصله دندانهای خود دریافت کنند و لبخندی زیبا و اعتمادبهنفس بالاتر داشته باشند.
سوالات متداول درباره درمان فاصله دندان بدون ارتودنسی
1. آیا درمان فاصله دندان بدون ارتودنسی دائمی است؟
بسته به روش انتخابی و رعایت بهداشت، درمانهای کامپوزیت و لمینت معمولاً چندین سال ماندگاری دارند. البته برخی عادتها یا آسیبها میتوانند طول عمر درمان را کاهش دهند.
2. آیا درمان بدون تراش دندان امکانپذیر است؟
در بسیاری از روشهای کامپوزیت، تراش دندان حداقل یا صفر است، اما در روشهای لمینت و روکش ممکن است مقدار کمی تراش لازم باشد تا نتیجه طبیعی و زیبا حاصل شود.
3. درمان فاصله دندان بدون ارتودنسی درد دارد؟
اکثر روشها کمتهاجمی هستند و درد بسیار کمی دارند. در روشهایی که نیاز به تراش یا آمادهسازی دندان است، ممکن است بیحسی موضعی استفاده شود.
4. کدام روش برای من مناسبتر است، کامپوزیت یا لمینت؟
انتخاب روش بستگی به میزان فاصله، وضعیت دندانها، بودجه و انتظار زیبایی شما دارد. دندانپزشک پس از معاینه، بهترین گزینه را پیشنهاد میکند.
5. آیا همه فاصلههای دندان بدون ارتودنسی قابل درمان هستند؟
خیر. فاصلههای زیاد، مشکلات اسکلتی فک یا بینظمی شدید دندانها معمولاً نیاز به ارتودنسی دارند.